Pet Diagnostic Testing
In‑house Pet Lab
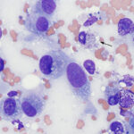
In-House Diagnostic Laboratory Tests
At The Veterinary Hospital, we have an in-house veterinary laboratory equipped with the Idexx Lab Station- the most up to date computer analytical machinery for blood testing together with an array of other specialised tests.
Being in-house, it allows us to accurately monitor patients and report results rapidly.
In addition to conducting comprehensive veterinary blood tests, we perform many other in-house tests including:
- Microscopic slide examination.
- Urinalysis
- Faecal analysis
- Viral testing
- Bacterial Culture and Sensitivity
- Parasitology
- Fungal Culture
- Fine needle aspirate cytology
What is a microchip
A microchip is a small electronic chip (rice grain size) inserted/ implanted under your pet’s skin using a special syringe. It is a universal method used to permanently identify your pet. It is normally inserted in the lose skin in between the shoulder blades. Most pets tolerate it and don’t even flinch when it’s happening.
It is important to note that a microchip is not an active tracking device. The chip only contains a unique number which can then be cross referenced with the owners’ details when the chip is inserted and the animal is registered.
The chip is “read” by using a small portable hand-held scanner which is waived over the animal. This picks up the unique number and it means that the owners’ details can then be obtained and contacted.
Why choose Laparoscopic Ovariectomy
The advantages of Laparoscopic Ovariectomy are as follows:
- There is a reduction in the amount of pain after the keyhole spaying operation.
- The surgical wounds are much smaller with keyhole surgery: 0.5 to 1 cm compared to 6 to 15 cm which mean your dog is likely to have a speedier recovery.
- Your pet will return to their normal level of exercise sooner. Normally she must rest for 10-14 days, but after laparoscopic surgery only 5 days rest is required on average.
- There is a significantly reduced risk of complications.
- Bleeding from the surgical site is less due to the surgeon having much better visualisation of the ovaries and using advanced equipment to seal the vessels.
What does Laparoscopic Ovariectomy involve
In many ways the process is similar to the traditional spay, all aspects of pre-surgical preparation are identical and your pet will only need to be with us for the day.
The main difference is the process once your pet is under anaesthetic.
- Two small wounds are made on the dog’s under-surface.
- A small amount of gas is introduced internally through the first wound, to lift the body wall away from the internal organs, creating an internal ‘tent’ effect.
- A small camera is then inserted into the patient through the same wound to see the ovaries.
- Surgical instruments are inserted through the second wound to remove the reproductive organs.
- In female dogs, we only remove the ovaries and leave the womb (uterus) inside.
Does keyhole spaying have any downsides
For keyhole surgery, we clip a larger area of fur extending up both sides of the dogs. This allows us to pick up the ovaries internally from the outside as they are actually very close to the spine of a dog.
Complications can happen with any surgery, but they are very rare.
In the worst case, keyhole surgery is converted to traditional open surgery, with no long-term consequences.
Please note that laparoscopic spay cost more than a traditional spay because it requires the use of highly specialized equipment, including small cameras, video screens and special instruments, some of which can only be used once.
Why leave the womb inside
If only the ovaries are removed, what are the health risks to my pet if the womb is left inside?
Simple removal of the ovaries is less traumatic than combined removal of the ovaries and womb.
Womb disease in dogs, including infection and cancer, are mainly due to the female hormone, oestrogen.
Oestrogen is produced by the ovaries, so as long as these are removed, the risks of womb diseases are very small.
Traditional Spay
- 5 – 10 cm incision
- Pain & bruising from blindly tearing ovarian ligament
- Post-operative pain
- Open surgical procedure
Laparoscopic Spay
- 1 – 3 Tiny Holes
- Reduced pain due to precise surgical cuts
- Up to 65% less post-operative pain
- Minimally invasive technique reduces chance of infection
Our Location
Villa 4, Al Wasl Rd
Umm Al Sheif – Dubai
Contact Us
Got Questions?
Emergency
ONLY hotline

